¿Qué es la enfermedad de las trincheras?

Conocida como infección de Vincent, o como una gingivitis ulcerosa con necrosis aguda, es una patología que produce dolor, que no se puede transmitir a otra persona, y que genera fuerte afección a las encías, esta enfermedad de las trincheras produce malestar, cansancio y hasta fiebre.

Esta enfermedad debe su nombre a que en la primera guerra mundial los soldados contraían la enfermedad, generalmente esto sucedía por una pésima higiene bucodental, el estrés también es responsable del origen de esta patología.

Causas de la enfermedad de las trincheras

Algunas personas que sufren de gingivitis normal, cuando están sometidas a procesos como exámenes de estudios universitarios, cambios de trabajo, o cambios familiares se puede provocar está enfermedad, además que es recurrente las personas fumadoras.

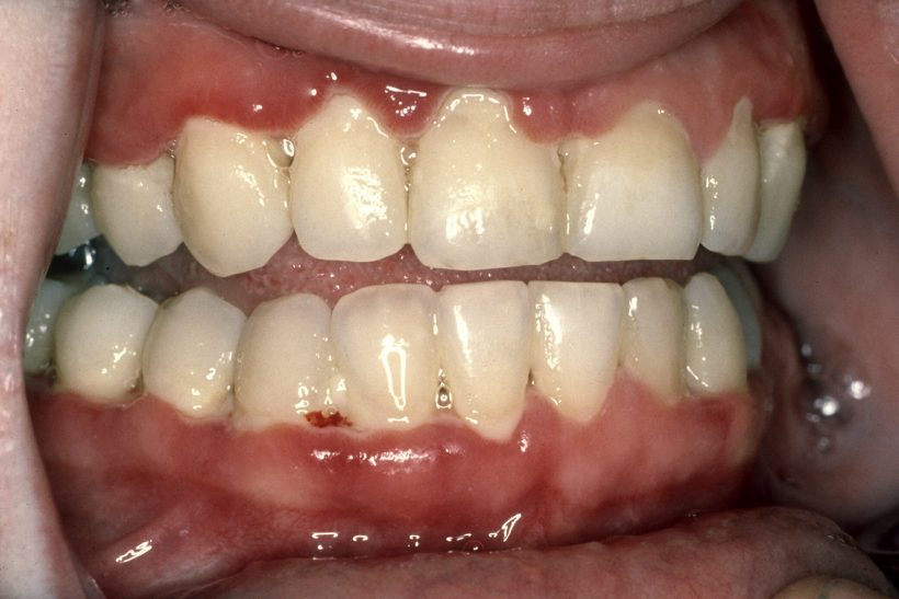
Casi siempre está patología de inicia con el dolor en las encías, y la aparición de halitosis, las encías comienzan a ulcerarse y el tejido se vuelve muerto de color grisáceo, es común que duelan muchísimo las encías que las hace sangrar, y que nos duela al comer y deglutir.

Tratamiento

Se debe limpiar la mucosa y poder extraer todo el tejido que este muerto y que produzca dolor, además del sarro que se encuentre entre los dientes y las encías, para esto se debe aplicar anestesia local y se realiza una profilaxis, luego de recomienda al paciente que tome enjuagues bucales con peróxido de hidrógeno y que se cepille los dientes, esto debe hacerlo varias veces durante el día para poder tratar efectivamente la enfermedad.